Abstrakt
Minerál dahllit patří do skupiny apatitu. Vyskytuje se asi v 3,6 % močových konkrementů. Nejčastěji jako příměs ve struvitových kamenech, dále s oxaláty a brushitem. Tvoří povlaky a vrstvy křídovitého charakteru. Může vytvářet i monominerální kameny. Je častý v močovém sedimentu. Dahllit obsahuje proměnlivé množství skupiny CO3. Někteří autoři zahrnují všechny členy apatitové skupiny do pojmu apatit (zkratka AP).
Terminologie
Karbonátapatit, Ca5(PO4,CO3)3(OH), zkratka AP
Synonyma
Karbonátapatit, také zahrnován do pojmu apatit
Klasifikační kódy
8.2.16, sk. apatitu (Strunz, 1982)
Odkazy na jiné relevantní dokumenty, další informace
Typy konkrementů
Karbonátapatit v močovém konkrementu
Chemická a fyzikální charakteristika, struktura a povaha analysu
Minerál karbonátapatit patří do skupiny apatitu spolu s whitlockitem (Ca3(PO4)2, oktakalciumfosfátem (Ca8H2(PO4)6.5H2O) a hydroxylapatitem Ca5(PO4)3(OH). Karbonátapatit je komplexní sloučenina.
Běžně se uvádí sumární vzorec: Ca10(PO4)(CO3OH)6(OH)2.
Stechiometrický vzorec je Ca4,75(PO4)2,65(OH)0,85 Ca(CO3)0,25.
Substituce skupinou CO3 teoreticky kolísá od 0 do 50 %. Váhový obsah karbonátu v apatitu je max. 5 %. Vyjdeme-li ze struktury hydroxylapatitu, může skupina CO3 vstupovat do mřížky výměnou za OH: Ca10(PO4)6(OH)2......Ca10(PO4)6CO3( ) nebo za PO4: Ca10(PO4)6(OH)2.......Ca8( )2(PO4)4(CO3)2( ) za vzniku kationtových vakancí ( ). Dále je možná hydratace záměnou H2O za OH-, H4O44- za PO43- a H3O+ za Ca.
Mol. hmotnost: nenalezeno
Nejsilnější difrakční linie: D = 2,780(10); 2,680(4); 3.46(3)
Hustota: 2,5 - 2,9g/cm3
Tvrdost: 3 - 5
Krystalový systém: hexagonální
Prostorová grupa: P63/m
Mřížkové parametry: pro Ca5(F-(PO4,CO3OH)3) a = 9,36, c = 6,90; c/a = 0,737
Optické vlastnosti: má izotropní charakter daný submikroskopickou velikostí krystalů. Index lomu kolísá od 1,55 do 1,61; u většiny vzorků od 1,55 do 1,59. Může kolísat také v rámci jednoho vzorku. Štěpnost: žádná
Makroskopický vzhled: většinou tvoří křídovité, velmi jemnozrnné agregáty.
Mikroskopicky se apatit vyskytuje ve třech strukturních typech. 1. pseudoamorfní izotropní 2. lamelární forma s výraznými interferenčními barvami 3. čočková forma tvořená kulovitými agregáty kryptokrystalických částic s patrným maltézským křížem. První typ lze zaměnit s organickou matrix, proteinem a tridymitem (nízkoteplotní forma SiO2.)
Tabulka píků procedury ASIR
|
Vlnočet (1/cm) |
|
Transmitance v % |
|
3401 |
|
50,6 |
|
2918 |
|
74,9 |
|
1639 |
|
66,7 |
|
1411 |
|
77,6 |
|
1093 |
|
07,3 |
|
1033 |
|
03,2 |
|
0960 |
|
52,7 |
|
0601 |
|
31,0 |
|
0564 |
|
25,1 |
|
0469 |
|
77,4 |
Důležité části spektra
Karbonátapatit obsahuje v krystalové mřížce proměnlivé množství skupin OH. Je to velmi dobře patrné z pásů 3404 cm‑1 a 1623. Tyto pásy mohou být však způsobeny také absorbovanou vodou. Absorpce při 1449, 1415 a 873 jsou typické pro CO3 skupinu. Karbonátová skupina kalcitu (CaCO3) při 712 je jiná a v karbonátapatitu se neobjevuje. Fosfátová skupina je reprezentována silným pásem při 1035 (valenční vibrace) a dvěma velmi charakteristickými píky (deformační vibrace) při 602 a 566.
Výskyt a četnost
Vyskytuje se asi v 3,6 % močových konkrementů. Je běžný v močovém sedimentu u infikovaných močí, ale je možný i u zdravých lidí. Tvoří prostatické kameny a konkrementy slinných žláz. Je součástí psích kamenů v 1,4 % a u koček tvoří 3,6 %. V přírodě patří k méně běžným nerostům, nachází se hlavně v organogenních sedimentech v podobě konkrecí a jako produkt rozpadu v bazických vyvřelinách (okolí Lašského jezera v Porýní).Četnost výskytu skupiny apatitu (apatit = RTG spektrum bez detekce píku CO3, karbonátapatit = s detekcí CO3) udává následující tabulka (hlavní složka je uváděna na prvním místě):
|
Složení konkrementu |
Výskyt v % |
|
|
|
|
Whewellit/weddellit/apatit |
8,6 |
|
Weddellit/apatit |
7,5 |
|
Struvit/karbonátapatit |
4,7 |
|
Whewellit/weddellit/karbonátapatit |
2,5 |
|
Whewellit/karbonátapatit |
1,8 |
|
Whewellit/apatit |
1,3 |
|
Weddellit/karbonátapatit . |
1,2 |
|
Karbonátapatit |
1,1 |
Typy konkrementů
I.Porézní, měkké a drobivé kameny křídovitého vzhledu. Barva bývá bílá, šedá až hnědá. Na lomu mají jemnozrnnou, víceméně koncentricky uspořádanou strukturu.
Variety:
a) příměs krystalů weddellitu
b) příměs krystalů struvitu
Etiologicky jsou spojovány s hyperparathyreoidismem, močovou infekcí a renální tubulární acidózou.
II. Kulovité, někdy mnohočetné kaménky, případně nepravidelného tvaru až odlitkového typu. Povrch je hladký nebo jemně hrbolatý s mastným nebo perleťovým leskem. Mají různé odstíny béžové a jsou tvrdé a houževnaté, s lasturnatým lomem. Na lomu jsou tvořeny velmi jemnými koncentrickými vrstvami apatitu. Ty mohou být proloženy jemným průsvitným proteinem a vykazovat slupkovitou odlučnost. Mají jedno krystalizační jádro nebo jsou multilokulární.
Varieta:
Mezivrstvy jemnozrnného whewellitu.
Statisticky nejčastější etiologií je renální tubulární acidóza, stejné kameny jsou také prostatického původu.
Klinické souvislosti a faktory vzniku
Vyčlenění karbonátapatitu je dáno citlivostí analytické metody na CO3. Z terapeutického hlediska nelze říci, že přítomnost skupiny CO3 je průkazem infekčního původu kamene. Postoj k této analyticky složité skupině močových konkrementů není dosud jednotný. Výskyt karbonátapatitu v močovém sedimentu je běžný u infekčních močí, u zdravých lidí se vyskytuje v postprandiálních vzorcích moče asi ve 4 %. Vznik konkrementů provází tyto litogenní faktory: hyperkalciurie, renální tubulárná acidoza, infekce močového traktu (není nezbytná), hyperfosfaturie, imobilizace, pH je větší než 6,1; běžně nad 7.
Galerie obrázků

Průřez konkrementem z močového měchýře, skládá se z vrstev struvitu a apatitu.

Odlitkový kámen z pánvičky ledvinné tvořený vrstvami struvitu a apatitu.

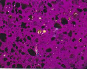
Pseudoizotropní agregáty apatitu se
stopami Whewellitu.
Zrnkový preparát, polarizační mikroskop, zvětšeno 160x

Weddellit a whewellit s příměsí
apatitu.
Zrnkový preparát, polarizační mikroskop, zvětšeno 160x

Střídající se vrstvy apatitu a
whewellitu s příměsí weddellitu.
Výbrus, polarizační mikroskop, zvětšeno 160x

Krystalické agregáty Whewellitu s
výplní jemnozrnného apatitu.
Výbrus, polarizační mikroskop, zvětšeno 320x

Drobné kulovité agregáty krystalků
apatitu,
diagonální strukturu uvnitř tvoří otisk chirurgického šicího materiálu.
Elektronový mikroskop, zvětšení 2000x
Autorské poznámky
Tamara Bulková